手術
不要歯肉退縮治療
歯肉再生PRP注射
お悩みの歯ぐき下りは、 再生医療で治療する時代へ。
メスも縫合も不要!
注射だけで、
健康的で若々しい口元へ。
歯ぐきが下がると、
口元が老けて見えるだけでなく、
知覚過敏や歯周病が発生しやすくなります。
歯肉再生PRP注射は、
ご自身の血液から取り出した
“成長因子”を活用し、
退縮した歯ぐきに注射するだけで、
歯肉を再生し歯ぐきの後退や
厚みを回復させる治療です。
歯肉再生PRP注射は
こんな方にオススメ
- 歯ぐきが下がって歯が長く見える
- 歯ぐきが薄くなり差し歯の金属が見える
- 知覚過敏でつらい
- 見た目を若々しく改善したい
- 将来的な歯ぐき下がりの悪化を止めたい
- 歯と歯ぐきの間に虫歯ができやすい
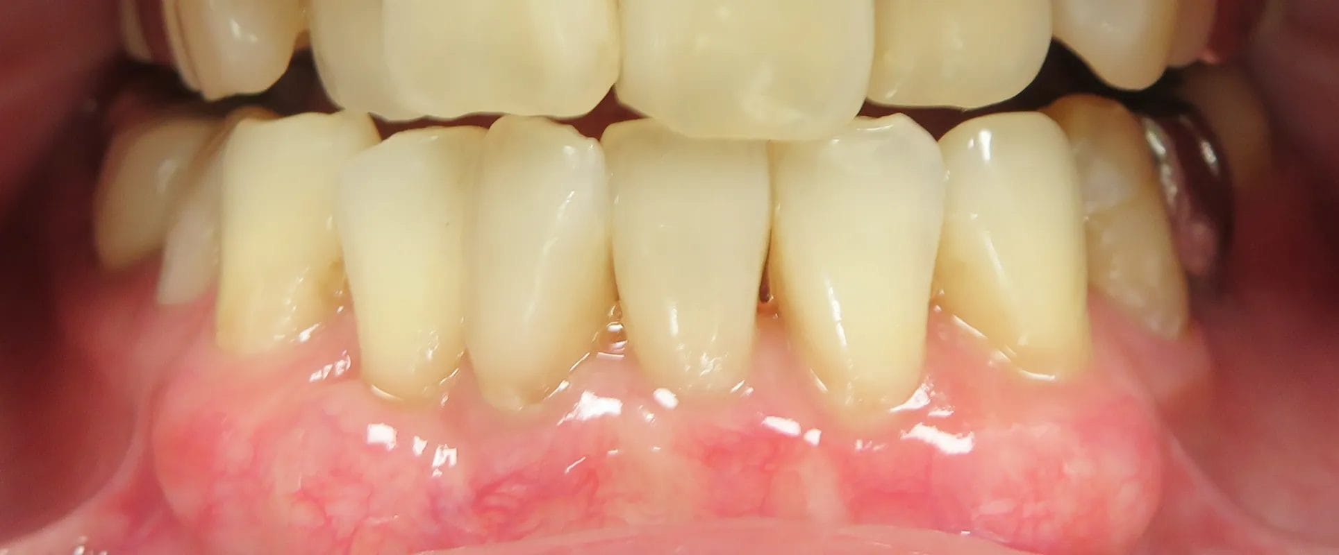
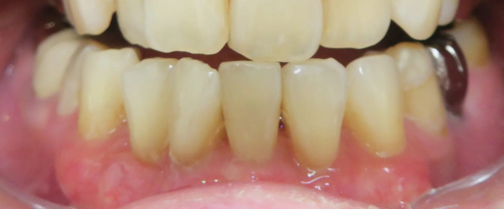
歯肉再生PRP注射の症例写真
BEFORE
AFTER
施術名:PRP注射/料金の目安:上前歯または下前歯 8本 89,000円(税込 97,900円)/施術の副作用リスク:効果の個人差、腫れ、左右差、内出血、ふくらみ、しこり、アレルギー
40代 女性
下前歯(8本)の歯茎に注入
施術前は歯茎が退縮し、歯根が露出している状態で、歯が長く見えていましたが、治療後は歯茎に厚みが増し、歯と歯茎のバランスが改善しました。
あわせて、歯茎の色調も改善し、より自然で若々しい印象となっています。
※効果には個人差があります。
歯肉退縮とは
健康な歯肉
歯肉退縮
歯肉退縮は、歯を支える歯ぐきが徐々に減って歯が長く見える状態です。
歯肉退縮の主な原因
- 放置すると歯根が露出し、知覚過敏・虫歯・歯の揺れやすさなど、口腔機能にも影響します。
- 見た目が老けて見えるだけでなく、
口の健康寿命を縮める要因にもなります。
ミラーの分類による
治療効果の目安
歯ぐきの下がり具合(歯肉退縮)を
「ミラーの分類」により評価することで、
歯肉再生PRP注射の効果を
あらかじめ予測することが可能です。
-
Class 1
退縮が浅く、周囲の骨や歯ぐきの組織も保たれている状態。
PRP注射によって
完全な歯根の被覆が期待できます。
-
Class 2
退縮がやや進行しているが、周囲組織は保たれている状態。
PRP注射によって
部分的な歯根の被覆が期待できます。
-
Class 3
退縮が進み、周囲組織の一部に喪失や歯並びの異常がみられる状態。
PRP注射によって
歯肉の厚み質は改善。
歯根の被覆は一部にとどまります。 -
Class 4
退縮が大きく進み、周囲組織の喪失や歯の位置異常が顕著な状態。
PRP注射によって
歯根の被覆はあまり期待できませんが、
進行予防効果が期待できます。
歯肉再生PRP注射と
外科手術との比較
従来、歯肉退縮に対する治療は、結合組織移植術などの外科的治療が主流でした。
しかしPRP注射なら、切らずに注射だけで改善を目指すことができます。
治療法
効果確実性
侵襲度
痛み・腫れ
ダウンタイム
審美性
持続性
費用目安
PRP注射
成長因子で
歯茎再生
◯Class1〜2は高い
◎切らない
◎軽い
◎数日〜1週間
◎自然な色
◯適切なケアで長期安定
◎6本=89,000円(税抜)
外科的歯肉移植術
移植で
歯茎を覆う
◯Class1〜2は高い
×切開・縫合あり
△中程度
△1〜3週間
△色が異なる場合あり
◯適切なケアで長期安定
△6本=20〜50万
歯肉再生PRP注射の
メカニズム
歯肉退縮を放置すると口腔衛生が良くても
約78%の方がそのまま進行
すると言われています。
-
治療前
歯肉が退縮した状態
-
注入
退縮した歯肉に
PRPを注入 -
治療後
歯肉が再生し、
歯根が被覆される
歯肉再生PRP注射では、
歯ぐきを再生し厚みを持たせ、審美性を改善。
将来の進行を予防します。
注射時の
負担を最小限に
-
1
局所麻酔
極細の針で、痛みを感じにくいとされている口腔粘膜に局所麻酔を行います。
-
2
麻酔範囲の拡大
麻酔がきいている部分から、徐々に麻酔範囲を広げることにより、歯根や歯茎を直接刺すことなく麻酔が完了します。
-
3
歯肉再生PRP注射
完全に麻酔がきいていることを確認してから、PRP注射を行いますので、ほぼ無痛で治療が終了します。
-
4
静脈麻酔(オプション)
痛みが苦手という方は、点滴から眠る麻酔(静脈麻酔)をご使用頂けると、完全に無痛で治療することも可能です。
世界に認められた
プルージュのPRP
プルージュ美容クリニック理事長は、PRPがまだ一般的に知られていない2010年よりPRPを使った再生治療の研究を重ねてきました。その研究が、2012年に組織再生工学の国際的ジャーナル「Tissue Engineering」で論文が紹介されました。さらに本法はアメリカで特許を取得しております。そういった海外での評価も我々が治療の効果に自信をもっておすすめできる理由です。
施術の流れ

STEP 1
カウンセリング
歯茎の状態を診察し、必要な治療回数や期待できる効果をご説明します。

STEP 2
PRP作製用の採血
PRP作製用の採血を行います。
採血量は約20mlです。

STEP 3
PRPの作製
採取した血液を遠心分離器にかけて、PRPを抽出します。

STEP 4
PRPの注入
歯茎の状態に合わせて、最大限の効果がでるように注入致します。
治療概要・禁忌・リスクについて
| 時 間 | 2時間(採血〜施術終了まで) |
|---|---|
| 麻 酔 | 局所麻酔、笑気麻酔、静脈麻酔(オプション) |
| 通 院 | 必要なし |
| ダウン タイム |
|
| 禁 忌 |
|
| 起こりうる リスク |
効果の個人差、腫れ、左右差、内出血、ふくらみ、しこり、アレルギー |
モニター特別価格
通常価格から40%OFF
PRP注射 モニター価格
下前歯(8本)
123,400円(税込)
通常価格:205,600円(税込)
●上前歯(8本)または下前歯(8本)のどちらかを3回治療いただけるコースになります。
下前歯(8本)セット
246,800円(税込)
通常価格:411,200円(税込)
●上前歯(8本)と下前歯(8本)をセットで3回治療いただけるコースになります。
医師の判断(審査)によりモニター条件でのご案内ができかねる場合がございますのであらかじめご了承くださいませ。
●6ヶ月から1年の間を目安にアフター写真撮影のため再来院いただきます。
●当院のSNSやHPにて症例写真を使用させていただく場合がございますので、あらかじめご了承くださいませ。
(※モザイクやトリミングなどでご本人様と分からない様にして使用いたします。)
●モニター適用の方については返金制度は承っておりませんので、あらかじめご了承下さいませ。
●医師の判断(審査)によりモニター条件でのご案内ができかねる場合がございますのであらかじめご了承くださいませ。
よくある質問
-
治療後の効果はどのくらい持ちますか?
適切なケアを続ければ長期的に安定します。強いブラッシングや歯ぎしりの習慣のある方は改善も大切です。
-
治療範囲はどこですか?
前歯の見える部分を中心に行います。奥歯までご希望の場合はご相談ください。
-
歯周病は完治しました。治療を受けられますか?
完治の方は可能です。歯周病や炎症がある場合は、先に歯科で治療を行ってからお越しください。
-
歯科矯正で歯ぐきが下がってしまいました。矯正中でも治療できますか?
矯正中は装置を装着(マウスピース矯正中も同様)しており、歯も歯ぐきも動いているため、治療は基本的に矯正終了後に行うのがより良い結果につながります。
-
1回で治りますか?
進行度によりますが、1回でも改善が見られます。より改善をご希望の場合は、2か月空けて再施術が可能です。
-
すぐに効果を感じられますか?
自己再生力を高める治療のため、効果が現れるまでに6か月~12か月程度かかります。
-
今はそこまで退縮していないのですが、治療したほうがいいですか?
歯肉退縮は80%以上の方が進行性ですので、予防的に注射をお受けになることをお勧めします。
