
上まぶた治療のPRP注射


こんなに
イメージが変わる!
上まぶたのくぼみによる深いシワや
左右差などを劇的改善

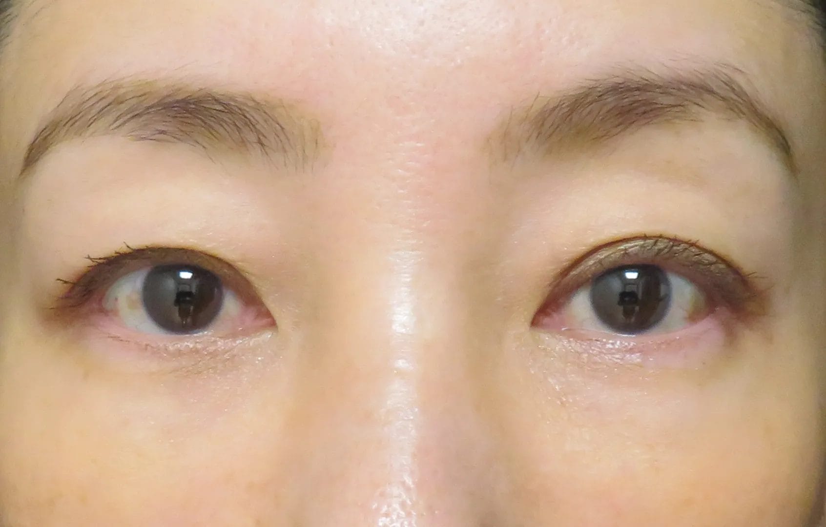
まぶたがくぼみ、影ができ、
深いシワ(線)も
できている状態

肌細胞の再生により皮膚がふっくら改善。
くすみも解消
経過日数:注入後8ヶ月/料金:98,000円(税込 107,800円)/施術名:PRP注射(上まぶた)/リスク: 効果の個人差、まぶたの重さ、感染等

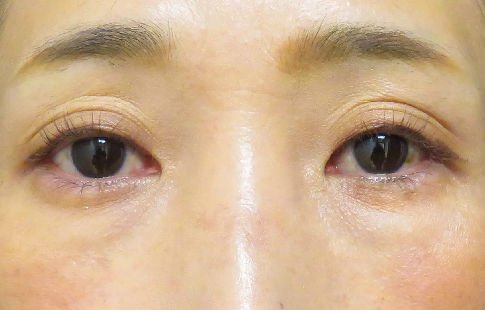
まぶたがくぼみ、深いシワ(線)が
現れている状態

肌細胞の再生により皮膚がふっくら改善。
皮膚のよれも解消
経過日数:注入後8ヶ月/料金:98,000円(税込 107,800円)/施術名:PRP注射(上まぶた)/リスク: 効果の個人差、まぶたの重さ、感染等

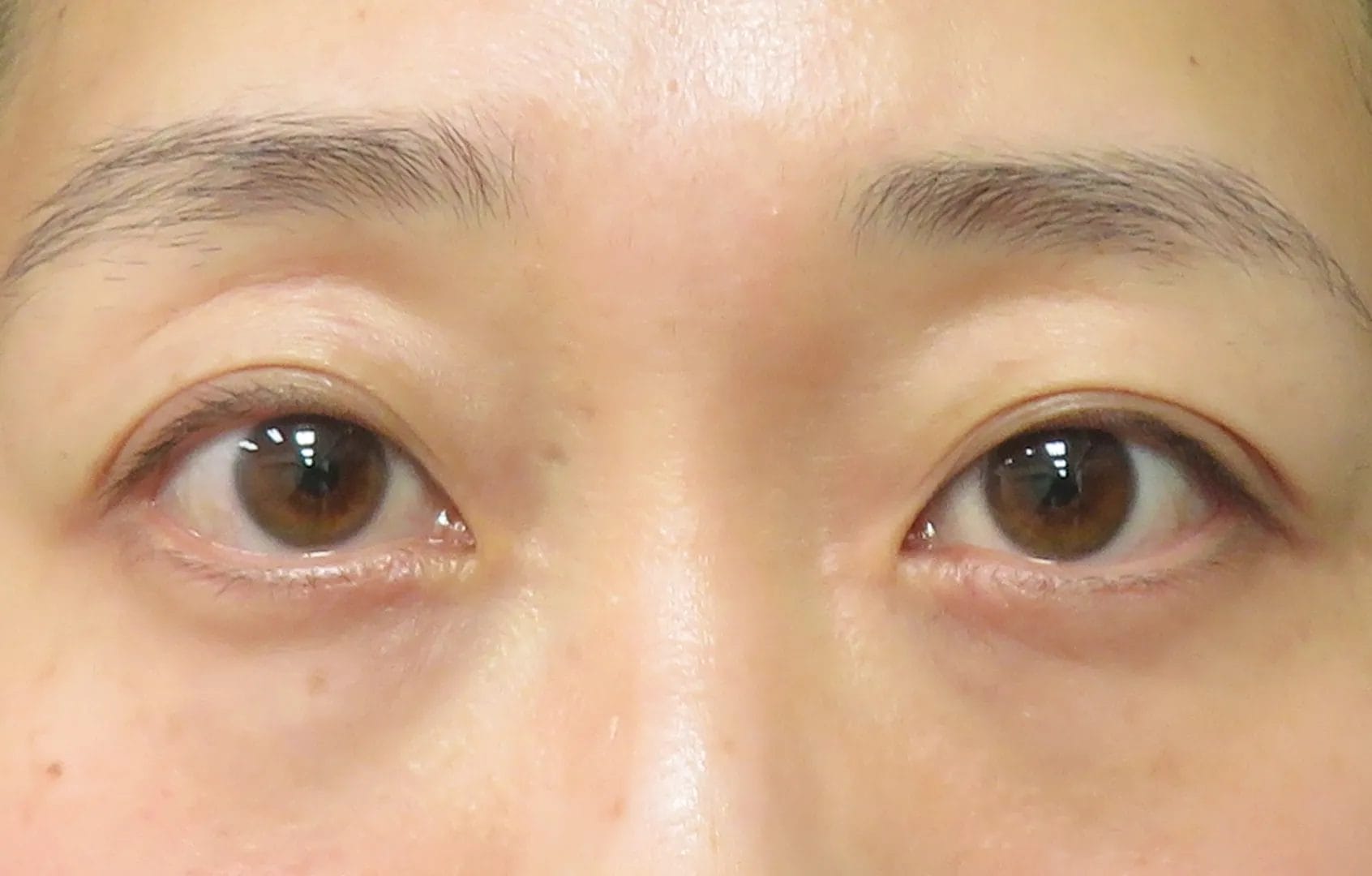
まぶたの薄さが原因で二重の左右差があり
三重になっている状態

肌細胞が再生し、皮膚の厚さが回復。
二重の幅も均等に。
経過日数:注入後5ヶ月/料金:98,000円(税込 107,800円)/施術名:PRP注射(上まぶた)/リスク: 効果の個人差、まぶたの重さ、感染等
PRP注射で改善します!
PRP注射は、ご自身の成長因子を使ってお肌の再生を促す治療です。
まぶたのくぼみを「ふっくらと優しい印象」に変えます。



こんな方に
オススメ

- まぶたのくぼみを
解消したい - 手軽に
治療したい - まぶたに
ハリが欲しい - まぶたのくすみを
解消したい - まぶたの
薄さが原因の
三重を消したい - 二重切開の
広すぎる
見た目を変えたい
上まぶたのくぼみの原因
上まぶたの
くぼみの原因1
筋肉が弱くなる

年齢を重ねると、目の上部がくぼんで見えることがあります。これは、眼球を支える筋肉が弱くなるためです。
眼球の周囲にはさまざまな筋肉があり、支える力が弱くなると、眼球は重力に負けて下がってきます。
若い方でも長時間のスマホやパソコン作業などでまばたきが減ると、これらの筋肉が弱くなります。
上まぶたの
くぼみの原因2
皮膚が薄くなる

脂肪の減少や加齢によりコラーゲンが減少。
弾力と厚みの失われたまぶたの皮膚は薄くなります。
さらに、脂肪が下がり、まぶたは内側にくぼんで見えるようになります。
これが「三重まぶた」や「目の上のくぼみ」の原因となります。
まぶたの治療は
再生医療のPRP注射じゃなければ
ダメな理由
-
カスタマイズ
1.カスタマイズまぶたの悩みの症状は年齢や骨格によって様々です。患者さまに合わせてすべて治療はカスタマイズ。
-
精密な注入技術
2.精密な注入技術まぶたは薄く、小さな範囲にシワやくぼみ、曲線が存在するため、精密な注入技術が求められます。
-
高品質なPRPG
3.高品質なPRPG皮膚が薄く、結果が顕著に現れる部分は、患者さまの状態に応じた濃度調整と品質が求められます。
世界にみとめられた プルージュのPRP
プルージュ美容クリニック理事長は、PRPがまだ一般的に知られていない2010年よりPRPを使った再生治療の研究を重ねてきました。
その研究が、2012年に組織再生工学の国際的ジャーナル「Tissue Engineering」で論文が紹介されました。
さらに本法はアメリカで特許を取得しております。
そういった海外での評価も我々が治療の効果に自信をもっておすすめできる理由です。
施術の流れ

STEP 1
カウンセリング
お悩みになっている状態や部位についてできるだけ詳しくお聞かせください。症状に対して、最適な治療法をご提案いたします。

STEP 2
PRP作製用の採血
PRP作製用の採血を行います。採血量はご希望の効果と部位によって変わります。また、事前に血液検査が必要になる場合がございます。

STEP 3
PRPの作製
採取した血液を遠心分離器にかけて、PRPを抽出します。

STEP 4
PRPの注入
共有したイメージ通りになるよう、熟練した医師が丁寧に注入致します。
治療概要・禁忌・リスクについて
| 時 間 | 1時間 |
|---|---|
| 麻 酔 | 局所麻酔、静脈麻酔(オプション) |
| 通 院 | 必要なし |
| ダウン タイム |
まれに注入部位や周辺が腫れることがありますが3〜4日で治まります。 注入後、1週間は注入部位の強い圧迫を避けてください。 |
| 入浴・洗顔 |
|
| 禁 忌 |
|
| 起こりうる リスク |
効果の個人差、まぶたの重さ、感染等 |
費用
PRP注射
98,000円
(税込107,800円)
PRP注射 アイスプレミアム
166,600円
(税込183,300円)
上まぶた治療のPRP注射についての よくある質問
-
すぐに効果を感じられますか?
本治療はご自身の肌再生効果を利用しますので、注入後、約1ヶ月から再生反応が開始し、完了するまでに6か月~12か月程度かかります。
なお、PRP注射の特性上、施術後1か月前後で一時的に「元の状態に戻ったように感じる」ことがあります。これは、施術直後に生じる腫れや炎症反応が落ち着くことによるもので、再生反応が始まる前の正常な経過です。
その後、PRPに含まれる成長因子の作用により組織の再生が進み、時間をかけて徐々に効果が現れていきます。 -
効果はどれくらいもちますか?
2025年時点で、PRP注射開始時から6年間経過しておりますが、その時期に施術させて頂いたお客様のほぼすべての方において、効果の80%以上が維持されています。
-
まぶたが重くなりませんか?
当院の熟練した医師におまかせ頂ければ、適切な注入量を見極め、重くならずに凹みだけを浅くすることが可能です。
-
気に入らなかったら元にもどせますか?
万が一、完成後のご状態がイメージと異なった場合でも、当院の「しこり・ふくらみすぎ修正注射」で効果を減らすことが可能です。
-
下眼瞼脱脂術の後にできたまぶたのくぼみにも効果がありますか?
もちろん効果がございます。
-
同時に目の下のクマ治療もできますか?
可能です。目の周りの治療を同時に行うことで見た目は劇的に若々しくなりますのでオススメいたします。
-
再治療をする場合、何年後が良いですか?
本治療は基本的には1回の治療で半永久的に効果が持続します。ただし、凹みが深い方でより効果をだしたい方は注入後6か月以降をお勧めしております。






