

抽出
そもそも濃度は

ドライ
加工
- 成長因子が
さらに濃縮 - 炎症物質除去



再生医療でしか改善できない症状があります。
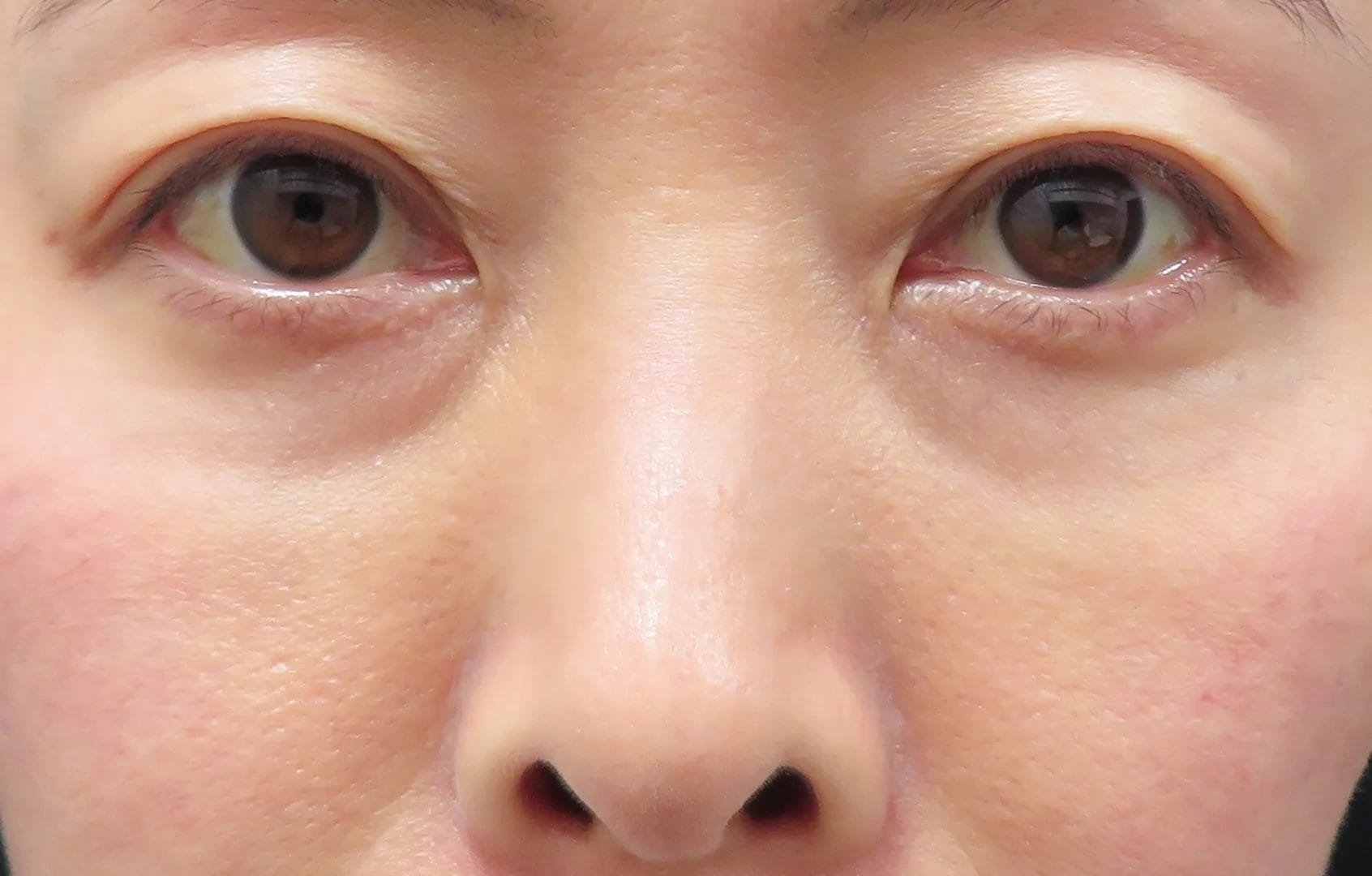
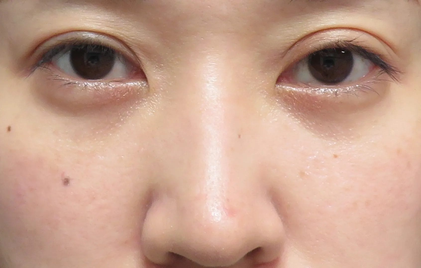
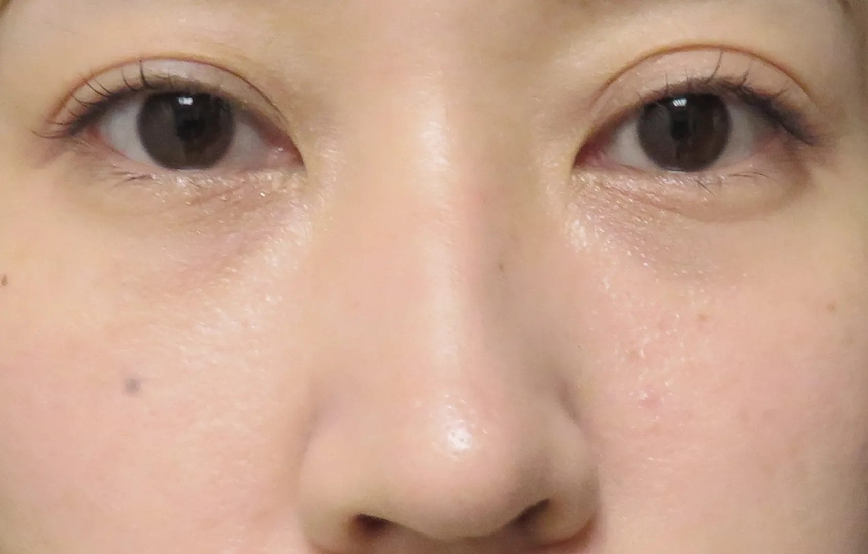
脂肪の取り過ぎにより新たなクマが発生していましたが、PRP注射で凹みも色素沈着も改善されました。
注入した脂肪が下のほうに定着したことで、不自然な凹凸が発生していましたが、PRP注射で改善しました。
脂肪を取りすぎたため、
凹みやシワが余計に目立つ。
注入した脂肪が定着せず、
凹みが改善しなかった。
色素沈着は、
脱脂術や脂肪注入では改善しない。
ふくらみの一部が残っている。


注射針での注入に加えて、皮膚表面からも細かくPRP注射を注入することで、凹みや色素沈着を劇的に改善します。
※医療用成長因子(FGF)を微量配合しております。
プルージュ美容クリニック理事長は、PRPがまだ一般的に知られていない
2010年よりPRPを使った再生治療の研究を重ねてきました。
その研究が、2012年に組織再生工学の国際的ジャーナル「Tissue Engineering」で論文が紹介されました。
さらに本法はアメリカで特許を取得しております。
そういった海外での評価も我々が治療の効果に自信をもっておすすめできる理由です。
痛みは少ないですが、針を使用いたしますので無痛での施術ではございません。しかし、以下の麻酔を複合的に取り入れて極力痛みを感じないように配慮しております。
| 時 間 | 1時間 |
|---|---|
| 麻 酔 | 局所麻酔・神経ブロック注射 / 笑気麻酔・静脈麻酔(オプション) |
| 通 院 | 必要なし |
| ダウン タイム |
|
| 禁 忌 |
|
| 起こりうる リスク |
効果の個人差、過度のふくらみ、しこり、感染等 |
本治療はご自身の肌再生効果を利用しますので、注入後、約1ヶ月から再生反応が開始し、完了するまでに6か月~12か月程度かかります。
なお、PRP注射の特性上、施術後1か月前後で一時的に「元の状態に戻ったように感じる」ことがあります。これは、施術直後に生じる腫れや炎症反応が落ち着くことによるもので、再生反応が始まる前の正常な経過です。
その後、PRPに含まれる成長因子の作用により組織の再生が進み、時間をかけて徐々に効果が現れていきます。
2025年時点で、PRP注射開始時から6年間経過しておりますが、その時期に施術させて頂いたお客様のほぼすべての方において、効果の80%以上が維持されています。
術後すぐは腫れやむくみが残っているため、修正は3ヶ月以上経過してからがおすすめです。
基本的には、1回の修正で十分な改善が得られ、2度目を希望される方は希です。
見た目でもわかるくらいヒアルロン酸が残っている場合は、あらかじめ溶かしてからPRP注射を行う可能性があります。医師がヒアルロン酸の状態を確認したうえで、最適な方法をご提案いたします。
脂肪の取り残しがあった場合でも、取り残しを目立たなくするような注入法も可能です。
脂肪を減らしたことによるたるみであれば、適切な位置にPRPを注射することで、7割程度まで改善できる可能性があります。ただし、たるみが強すぎる場合は切開術をご案内することもあります。
Reservation
初診も再診も
LINE予約がオススメ!
やり取りもご予約の確認もできて便利!
WEB予約
メールの場合は返信にお時間をいただく場合がございます。お急ぎの方はLINEにてお問い合わせください。
※未成年の方(18歳未満の方)は親権者同意書が必要となります。ダウンロードはこちら
当ページは、医療広告に関する法令および厚生労働省が定めるガイドライン(2018年6月改正・施行)を遵守し、プルージュ美容クリニック理事長 岡本慎一医師による監修のもと掲載しています。症例写真を掲載する際には、施術の内容説明に加えて、想定されるリスク・副作用、ならびに費用についても明記しております。ご利用の皆様には一部情報の変更や制限によりご不便をおかけする場合もございますが、正確かつ適正な情報提供のため、ご理解賜りますようお願い申し上げます。