クマ治療のPRP注射
クマ治療のPRP注射なら、
すべてのクマを
同時に改善できます!

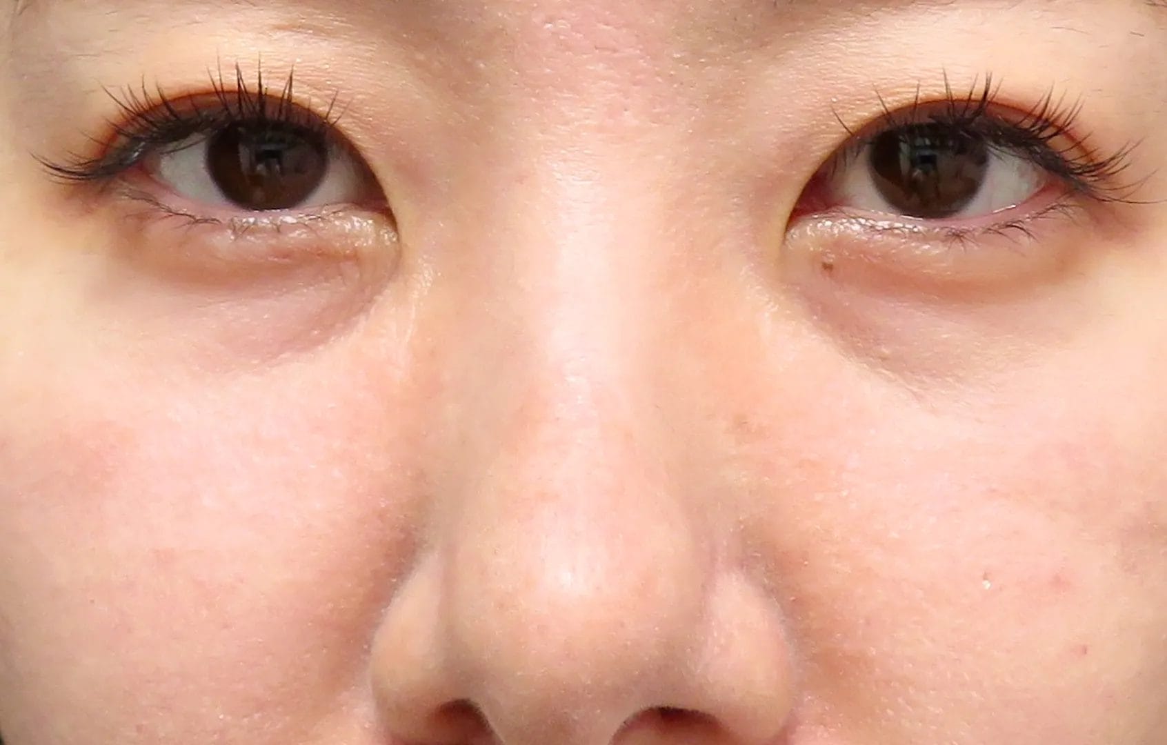
目の下にメラニン色素の
沈着や角質
が厚くなっている状態。

美肌効果により色素沈着が改善し、
透明感のある肌質になる。
主に色素沈着が原因。日焼けやくすみ、摩擦によりメラニンが発生。

目の下の皮膚が薄く透けて
血液が見
えている状態。

肌細胞の産生作用により、
皮膚の厚
みが正常化し、青みが改善する。
主に血流の滞りが原因。冷え性、睡眠不足、運動不足、長時間のデスクワークにより血行不良。

目の下の膨らみやたるみ、
むくみに
より影ができた状態。

影の原因となる凹みを、脱脂術と
肌
再生効果の相乗効果でクマを改善。
主に眼窩脂肪が原因。眼球が下垂することにより、押し出されてしまう。
安全性も効果も実証済み!
クマ治療のPRP注射とは?
- ご自身の血液を利用した、究極の若返り再生医療です。
- ヒアルロン酸やコラーゲンの産生が盛んになります。
- ご自身の活性度100%の血小板由来成長因子を使用します。
※医療用成長因子(FGF)を微量配合しております。
PRP注射によるクマ改善の
メカニズム

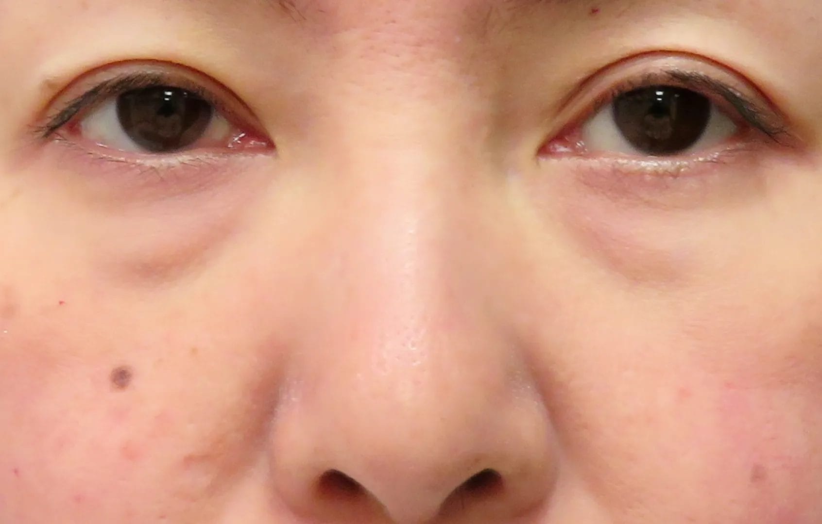
Before
クマの原因となる凹みや
くすみにPRPを注入

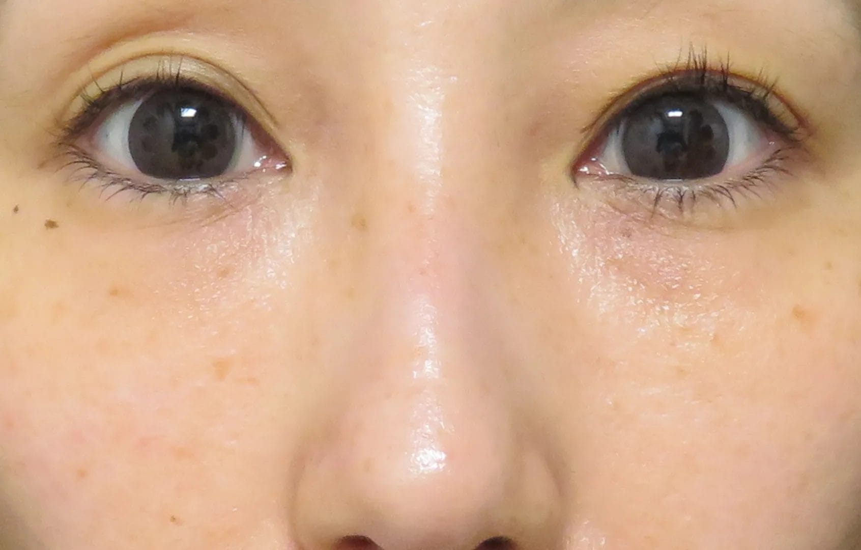
After
新しい肌が再生し、
凹みやくすみが改善
肌自体が美肌に生まれ変わり、
周辺部位とも自然に調和します。
クマ治療のPRP注射は、
こんな方にオススメです。
- 目の下のクマを改善したい
- 手術はなるべく避けたい
- ヒアルロン酸やコラーゲンなどの異物に抵抗がある
- くすみやちりめんジワも改善したい
- 肌質も改善したい
注入技術へのこだわり
Quality
PRPの
品質
独自の遠心分離技術により、
超高濃度のPRPを生成
Technique
精密な
注入技術
経験と実績を兼ね備えた
医師のたしかな技術
Customize
カスタ
マイズ
患者様お一人おひとりの
個人差に合わせたカスタマイズ
従来の注射針より、痛みや内出血リスクが少ない。
従来の注射針
多数の箇所から注入
マジック・ニードル
1つの穴から注入
マジック・ニードルは
針先が丸くて細いから
痛くない。
従来の注射針
針先がとがっている
マジック・ニードル
針先が丸く側面に注入穴
細いから痛くない

クマ治療のPRP注射が
大人気になった理由!
理由
1
さざ波現象
肌再生効果が注入部位からさざ波のように広がるため、ハリのある美肌になります。
理由
2
どの部位でも安全
ご自身の血液から抽出した組織のため、危険性や副作用を伴う治療とは全く異なり、安心して注入できます。
理由
3
コラーゲンも増える
皮膚の菲薄化による、目の下のちりめんジワは信じられないほどに改善します。
世界に認められた
プルージュのPRP
プルージュ美容クリニック理事長は、PRPがまだ一般的に知られていない2010年よりPRPを使った再生治療の研究を重ねてきました。
その研究が、2012年に組織再生工学の国際的ジャーナル「Tissue Engineering」で論文が紹介されました。
さらに本法はアメリカで特許を取得しております。
そういった海外での評価も我々が治療の効果に自信をもっておすすめできる理由です。
施術の流れ

STEP 1
カウンセリング
お悩みになっている状態や部位についてできるだけ詳しくお聞かせください。症状に対して、最適な治療法をご提案いたします。

STEP 2
PRP作製用の採血
PRP作製用の採血を行います。採血量はご希望の効果と部位によって変わります。また、事前に血液検査が必要になる場合がございます。

STEP 3
PRPの作製
採取した血液を遠心分離器にかけて、PRPを抽出します。

STEP 4
PRPの注入
共有したイメージ通りになるよう、熟練した医師が丁寧に注入致します。
治療概要・禁忌・リスクについて
| 時 間 | 1時間 |
|---|---|
| 麻 酔 | 表面麻酔、局所麻酔、静脈麻酔(オプション) |
| 通 院 | 必要なし |
| ダウン タイム |
|
| 禁 忌 |
|
| 起こりうる リスク |
効果の個人差、イメージの相違、過度のふくらみ、しこり、感染等 |
費用
PRP注射
89,000円
(税込97,900円)
PRP注射 アイスプレミアム
151,300円
(税込166,500円)
クマ治療のPRP注射についての よくある質問
-
すぐに効果を感じられますか?
本治療はご自身の肌再生効果を利用しますので、注入後、約1ヶ月から再生反応が開始し、完了するまでに6か月~12か月程度かかります。
なお、PRP注射の特性上、施術後1か月前後で一時的に「元の状態に戻ったように感じる」ことがあります。これは、施術直後に生じる腫れや炎症反応が落ち着くことによるもので、再生反応が始まる前の正常な経過です。
その後、PRPに含まれる成長因子の作用により組織の再生が進み、時間をかけて徐々に効果が現れていきます。 -
効果はどれくらいもちますか?
2025年時点で、PRP注射開始時から6年間経過しておりますが、その時期に施術させて頂いたお客様のほぼすべての方において、効果の80%以上が維持されています。
-
涙袋も膨らみますか?
ヒアルロン酸注入のように常時膨らんだ状態ではなく、笑ったときに自然な涙袋ができるようになります。
-
もう一度受ける場合はどれくらいあければいいですか?
同じ部位でしたら6か月以上あけていただきますが、部位が異なる場合でしたら期間をあけずに施術可能です。
-
年齢が高いと効果がないと聞いたのですが
一般的に成長因子は、20代前半をピークに活性率が徐々に減少していくと考えられていますが、ご自分の体質の範囲内で最大限の再生力を利用して、肌を若返らせることが可能です。
-
施術を受けられない人はいますか?
ご自分の血液を使用しますので、基本的には年齢や体質に関係なくすべての患者様にお受けいただけます。ただし、妊娠中や授乳中の方、悪性腫瘍の既往がある方はお受けできない可能性がございますので、事前に医師にご相談ください。



